かみ合わせを整えることで、口腔内の状態を健康に保ちやすくなり、
慢性的な頭痛や肩こりが軽減できることがあります。
かみ合わせ治療とは
かみ合わせの不具合は、顎の痛みといった症状につながるだけでなく、歯や歯ぐきに負担をかけます。歯と歯ぐきに強い力がかかるとダメージが蓄積し、歯にひびが入ったり、欠けてしまったり、歯周病が悪化しやすくなったりします。そして、歯や歯ぐきにトラブルが生じると、やがて隣り合う歯や歯ぐきにも悪影響を与えます。また、かみ合わせの不具合は、慢性的な頭痛や肩こりなどの原因になっている場合もあるため、かみ合わせを整えることでそうした症状の緩和も期待できます。
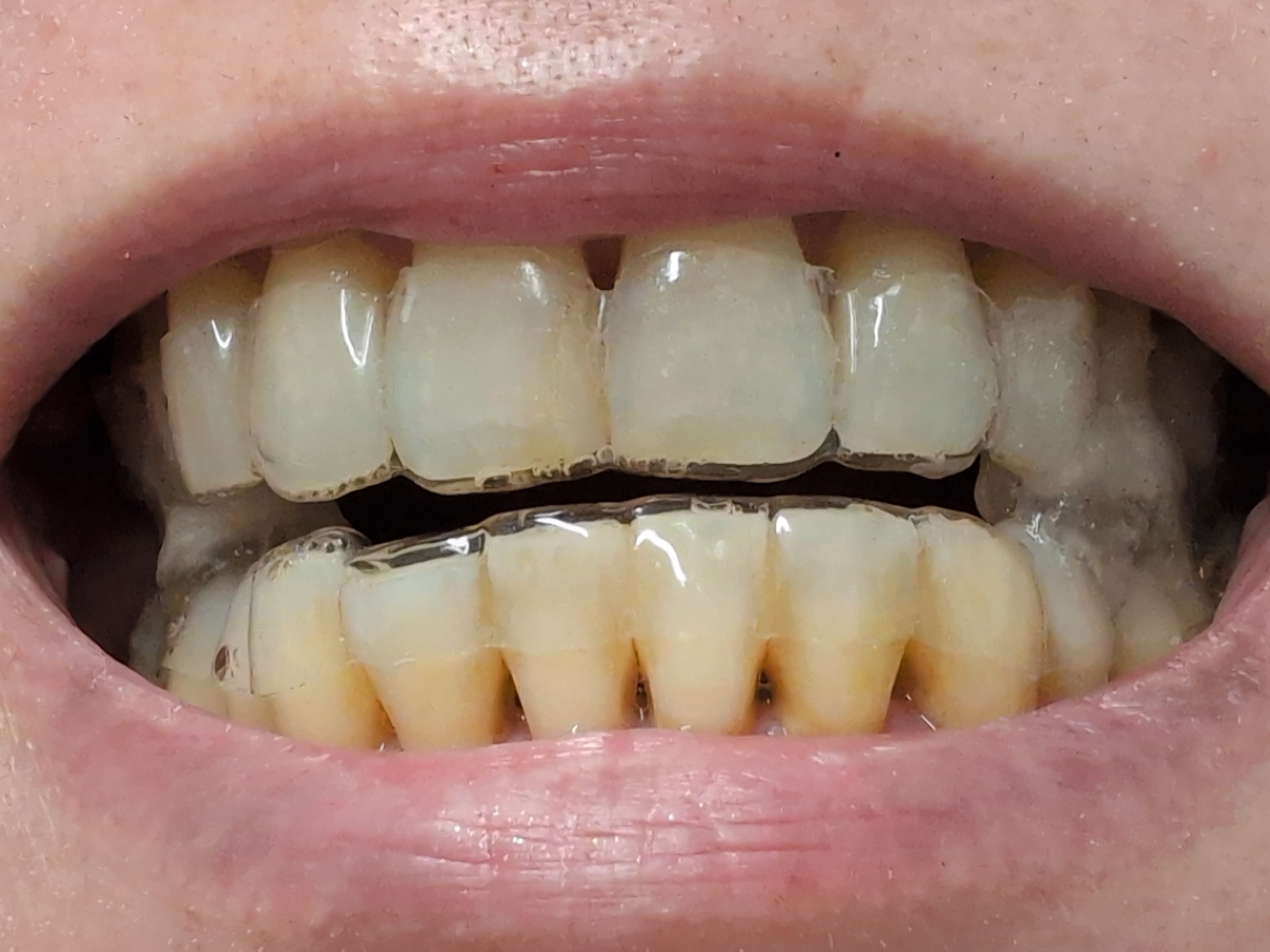
無意識の「くいしばり」や「歯ぎしり」を治しましょう
ストレス社会と言われている近年では、無意識に歯をくいしばる方が増えてきています。歯をくいしばるのは、歯と歯ぐきに大きなダメージを与えます。困ったことに、歯をくいしばる癖や夜中の歯ぎしりは無自覚の場合が多く、歯や歯ぐきに深刻なトラブルが起こってはじめて気付く方がほとんどです。当クリニックでは、こうしたくいしばりや歯ぎしりを解消するための治療を行っています。「ナイトガード」というマウスピースなどを使うことで、歯や歯ぐきに対するダメージはかなり軽減できます。
その他、注意したい癖
かみ合わせを悪化させる原因には、頬杖や片方だけで食べ物をかむこと、眠る時の姿勢などがあります。食事の時、テレビを観る習慣がある場合、座っている場所とテレビの位置関係によって、かみ合わせが影響を受けることもあります。日常生活のちょっとした癖や習慣が、かみ合わせに大きな影響を与えていることがありますので、いろいろとお話をうかがいながら、患者さまといっしょに原因を突き止め、改善できるようアドバイスを行っています。
顎関節症
口を開けたり閉じたりする時に、痛みや違和感があったり、カクカク音がするようでしたら、顎関節症の可能性があります。顎関節症は進行すると全く口を開けられなくなることがあります。また、再発しやすいため、しっかり治療を受けることが重要です。
顎関節症の治療
顎関節症による痛みや不快感がある場合は、それらを最優先で解消し、かみ合わせを整えながらじっくり治療しています。また、正しい姿勢で顎の力を抜いた時に自然に下顎が誘導された状態である下顎安静位を覚えていただくなど、再発しにくくするための治療も行っています。
いびき予防
いびき予防・睡眠時無呼吸症候群への取り組み
**いびきや睡眠時無呼吸症候群(SAS)**にお悩みの方へ
歯科で行えるサポートとして「いびき防止用マウスピース(口腔内装置)」を製作しています。
歯型をもとに一人ひとりに合わせた装置を作り、舌の沈み込みを防いで気道を確保することで、
いびきや無呼吸の症状をやわらげます。
保険・自費対応
医科で診断を受けた方は保険適用が可能です。
診断書がない場合は**自費(税別3万円)で製作でき、
希望に応じて即日仕上げ(+税別5,000円)**にも対応しています。
院長も効果を実感
院長自身もマウスピースを使用し、初日から熟睡できた実体験があります。
その経験をもとに、気軽に相談できる環境を整えています。
期待できる効果
・いびき軽減による家族の安眠
・睡眠の質向上による集中力アップ
・噛み合わせ改善による顎の負担軽減
このような方におすすめ
・家族にいびきを指摘された
・朝の口の乾きや頭の重さが気になる
・夜中に息苦しくて目が覚める
・睡眠の質を上げたい
軽度の睡眠時無呼吸症候群やいびきは、歯科でのマウスピース治療で改善できる場合があります。
お気軽にご相談ください。




